Alma introduces it’s latest non-ablative fractional laser
The vast choice of light-based skin rejuvenation treatments available in today’s aesthetic world is often confusing for both patients and clinics. However, a trend that is emerging is the desire and preference for aesthetic treatments that do not disrupt everyday activities and have few side effects. For years, skin resurfacing treatments were performed by ablative lasers such as the Pixel CO2 or the 2940nm Er: Yag fractional lasers. Those treatments posed varying amounts of post-treatment downtime to patients, therefor were limited in their popularity. Being minded to what patients are seeking Alma has set itself a goal to design a non-ablative fractional laser skin resurfacing treatment.
The mid-infrared 1540nm Er:Glass laser meets these criteria with its optimal wavelength for water absorption and deep penetration into the dermal layers of the skin. Fractional non-ablative laser technologies for skin rejuvenation have been shown to improve the appearance of fine wrinkles, pigmentation, texture, pore size, redness and minor scars and yet offer minimal to no downtime.
Alma’s newly launched ClearSkin Pro is a fractional 1540nm Er:Glass laser hand-piece that can induce deep thermal micro-columns of tissue coagulation in the dermis while sparing the epidermis and the surrounding dermal tissue. These coagulated columns trigger a wound-healing response that generate new collagen, resulting in improved skin texture and appearance. The cooled applicator helps provide a tolerable treatment and protects the epidermis.
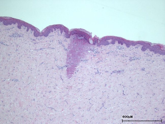
Ex vivo studies demonstrated coagulation columns up to more than 1000µm deep while keeping the epidermis intact (photos below). The undamaged tissue in between these columns act as a reservoir for tissue regeneration and remodeling.
Histology Data on Porcine Skin

Parameters: Pixel 1540nm, 3000mj/Pulse (61mK/Pixel).
Clinical studies with leading physicians
Currently, Alma has several ongoing studies with physicians around the world, evaluating the safety and efficacy of this new high energy fractional 1540nm Erbium: Glass laser for the improvement of aged skin. Initial results show impressive patient satisfaction with almost no downtime and no discomfort (under submission). Moreover, there are also studies in progress examining combination skin therapies using the ClearSkin Pro in addition with other complimentary technologies to maximize results.
The high energy ClearSkin Pro non-ablative fractional laser applicator has been made possible by innovative physicists at Alma who have succeeded in doubling the energy output of our already bestselling ClearSkin.
ClearSkin Pro is one of many applicators available on the multi-platform – Harmony XL Pro Special Edition. This dermatology workstation features 3 different laser hand-pieces as well as other light based technologies. Those include advanced IPL (Intense Pulsed Light) technology, AFT (Advanced Fluorescence Technology) and NIR (Near Infra Red) technology. Combine those all together it is clearly a great choice for physicians looking to diversify their clinic’s treatment portfolio with over 65 cleared FDA indications.
